Світ прекрасний, але якщо придивитися, то обов'язково помітиш щось страшне. Будь то павуки, блискавки чи соціально небезпечні елементи – кожен має свої страхи. На форумі Reddit було поставлене цікаве питання: "Який найтривожніший факт вам відомий?". Користувачі залишили майже 10 000 відповідей! Ось найцікавіші з них.
1. Хтось торгує людьми, а потім повертається до своєї родини і живе у набагато комфортніших умовах, ніж деякі з нас.
2. Останні десять років були найспекотнішими за всю історію
3. Бактерії можуть еволюціонувати та ставати стійкими до антибіотиків – препаратів, які ми використовуємо для лікування бактеріальних інфекцій.
Надмірне та неправильне застосування антибіотиків може прискорити цей процес. За даними Всесвітньої організації охорони здоров'я, стійкість до антибіотиків є однією з найсерйозніших загроз здоров'ю населення планети. У майбутньому найпростіші інфекції можуть знову стати смертельно небезпечними.
4. Хвороба Крейтцфельдта - Якоба передається у спадок і може протікати у прихованій формі понад 50 років
Виявляється недоумством, епілептичними нападами, симптомами ураження мозочка та порушенням зору. Ліки від цього смертельного захворювання немає.
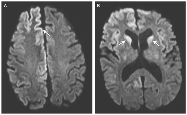
5. Аневризми головного мозку зазвичай не мають симптомів, а при розриві можуть призвести до смерті
5. В Америці сотні серійних убивць, чия особа не встановлена
6. Збройні сили США втратили кілька одиниць ядерної зброї
Мова про кілька випадків з боєприпасами, після яких у звітах почало фігурувати менше боєголовок.
7. Гусениці голуб'янок вміють обманювати мурах
Для цього вони навчилися імітувати феромони та акустичні сигнали мурашиної королеви. Комахи приносять гусеницю до гнізда, де вона пожирає всіх личинок. Дослідження показали, що гусениця визначає, яка личинка стане наступною королевою і з'їдає її в першу чергу.
8. Деменцією хворіють і молоді
10. 50-70% людей не мають внутрішнього монологу (голосу).
11. Танення вічної мерзлоти у Сибіру загрожує відродити доісторичні хвороби
12. Неглерія Фоулера - паразит, що мешкає в прісноводних водоймах
Амеба потрапляє в людину через ніс і дістається мозку, де починає пожирати тканини.
13. Синдром раптової дитячої смерті – незрозуміла смерть дитини віком від 14 днів до 1 року
14. З великою часткою ймовірності ви вже зустрічали у своєму житті хоча б одного вбивцю
15. Внаслідок вибуху на атомній електростанції 35-річний Хісасі Оучі отримав смертельну дозу радіації та потрапив до рук цинічних лікарів, які 83 дні продовжували його агонію, експериментуючи з лікуванням
16. Відповідно до стандартів Food and Drug Administration (FDA) у 100 г шоколаду допустимо вміст до 60 фрагментів комах
17. Цингу на пізніх стадіях призводить до розтину старих рубців, тому що через нестачу вітаміну С синтез колагену знижується
18. Слух – останнє почуття, що залишає людину, коли вона вмирає
19. Деякі вчені вважають мух найнебезпечнішими з усіх тварин через те, що вони легко розповсюджують хвороби
20. Єллоустонський національний парк – це масивна кальдера вулкана, виверження якого призведе до вимирання людства.
21. У нашому організмі та на його поверхні живе більше бактерій, ніж людських клітин
22. Відновлення енергосистеми на Землі після потужної сонячної бурі займе від кількох місяців до кількох років
23. Існують планети, які обертаються навколо зірки. Їх називають планетами-ізгоями
Якщо така планета забреде до Сонячної системи і наблизиться до Землі, то зрушить її з орбіти.
24. Остання кара через відсікання голови гільйотиною відбулася у Франції 10 вересня 1977 року
25. У рамках операції "Нортвудс" ЦРУ пропонувало вчинити терористичні акти на території США, щоб звинуватити Фіделя Кастро та підготувати суспільство до збройного вторгнення на Кубу.
Проте Кеннеді не схвалив цей проект.
Матеріал посту має характер новин. Ми поважаємо думку кожного користувача. Проте просимо утриматися від коментарів, які суперечать правилам сайту. Таких, як розпалювання ворожнечі та ненависті, мат, образи та перехід на особистості. А якщо ні, то до такого користувача будуть застосовані санкції. Від анулювання карми до бана акаунта. Для більш "вільних" розмов на сайті відкрито розділ Антифішки.
