Фото различных последствий, которые вызывают дрожь в коленях (16 фото)
У каждого действия есть последствия. Особенно если это природное явление. Мы собрали результаты, которые завораживают, пугают, а также показывают всю мощь природы, различных процедур и .
Последствия наводнения в Германии
После акупунктурного коврика
После пожара
Фотография сделана после лесных пожаров на острове Эвиас в Греции: расплавленный алюминий от автомобильных дисков
На фоне горит нефтеперерабатывающий завод
Результат массовой охоты на китов
В Венгрии разлилось токсичное вещество
Последствия укуса медузы
После вулкана свалился огромный камень, проредивший деревья в штате Мэн
После града в Техасе
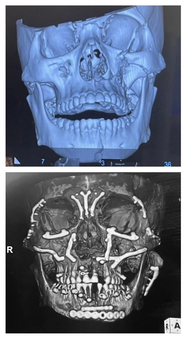
"4 месяца назад я сломал все кости на лице: 90 винтов и 30 пластин спустя я на пути к выздоровлению"
Последствия тайфуна Одетт, обрушившегося на Филиппины
Машина сгорела возле дома
Последствия пожаров на пастбищах в Колорадо
После взрыва 20-дюймового трубопровода в Западной Вирджинии ![]()





